【症例紹介】お口全体の総合的な歯科治療(インプラント・歯周再生・全顎矯正・審美)

【症例紹介】60代女性:オープンバイト(開咬)を伴う崩壊した咬合の全顎的な再構築
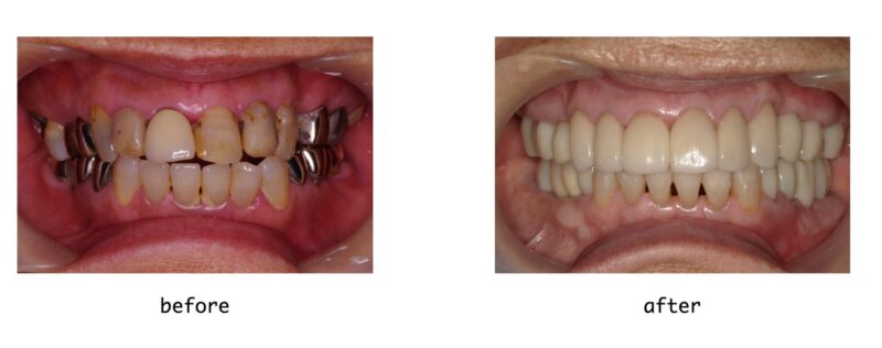
「左上の歯がない部分にインプラントを入れたい」という主訴でご来院された患者様の症例です。 精密検査の結果、単に欠損部を補うだけでは解決できない「根本的な噛み合わせの問題」が判明したため、矯正治療を含む全顎的な治療(フルマウスリコンストラクション)を行いました。
1. 初診時の状態と診断
患者様は左上の欠損へのインプラントを希望されていましたが、お口全体を確認すると以下の課題が見つかりました。
- オープンバイト(開咬): 上下の前歯が噛み合っておらず、隙間が開いている状態。
- 前歯の機能不全: 前歯で物が噛み切れないだけでなく、奥歯にすべての噛む力が集中し、奥歯の寿命を縮めていました。
- 重度歯周病: 一部の奥歯で骨の吸収が進行しており、保存が危ぶまれる状態でした。
- 噛み合わせの崩壊: 欠損や歯の移動により、お口全体のバランスが著しく損なわれていました。
「部分的なインプラント治療だけでは、遠くない将来にせっかく入れたインプラントや他の健康な歯も壊れてしまう」というリスクを詳しくご説明し、根本改善を目指す治療計画を立てました。


2. 治療計画のポイント
「あえてインプラントをしない」という選択
主訴であった左上の欠損部については、インプラントではなく**「矯正治療」**によってご自身の奥歯を前に移動させることでスペースを閉じる計画としました。これにより、異物を入れずにご自身の天然歯だけで歯列を回復させています。
オープンバイトの根本改善
最大の課題であるオープンバイトを矯正で改善。前歯が正しく噛み合うことで、奥歯への過度な負担を分散させ、お口全体の長期安定を図りました。
3. 治療内容の詳細
| 治療カテゴリー | 内容 |
|---|---|
| 全顎矯正治療 | ワイヤー装置を用い、オープンバイトを改善して前歯の接触を確立。左上の欠損スペースも矯正による歯体移動で閉鎖しました。 |
| インプラント治療 | 右下顎の欠損部に対し2本のインプラントを埋入。骨が薄い箇所には骨移植(GBR)を行い、土台を強固にしました。 |
| 歯周再生療法 | 歯周病が進行していた左下第2大臼歯に対し、エムドゲインおよび骨移植を併用した再生療法を行い、抜歯を回避しました。 |
| 精密審美修復 | 経年劣化した既存の被せ物や変色歯に対し、高強度かつ天然歯のように美しいジルコニアクラウンを計18本装着しました。 |
4. 治療結果・データ


- 治療期間: 約5年5ヶ月
- 通院回数: 約140回
- 治療費用(税込): 総額 約3,883,000円
- 矯正治療:715,000円
- インプラント(2本):1,254,000円(埋入、骨移植、二次手術、上部構造含む)
- 歯周再生療法:132,000円
- ジルコニアクラウン(18本):1,782,000円
- ※本症例はすべて自由診療(保険適用外)です。
- ※費用は治療当時の当院の基準であり、現在の費用や患者様のお口の状態により変動します。
5. 歯科医師からのコメント
本症例の最大のテーマは、**「壊れない噛み合わせの器(土台)を作ること」**にありました。 もし最初のご希望通りに左上へインプラントを植えるだけの治療を行っていたら、オープンバイトによる奥歯への過重負担が続き、数年でインプラントの脱離や周囲の歯の破折を招いていた可能性が非常に高いと考えられます。
5年を超える長い治療期間となりましたが、矯正によって前歯が機能し、奥歯を守るという「理想的な噛み合わせ(相互保護咬合)」を再構築できました。これこそが、将来にわたってお食事を美味しく楽しんでいただくための最善の投資となります。
6. 主なリスク・副作用
- 矯正治療: 装置装着時の痛みや違和感、発音への影響。清掃性低下による虫歯・歯周病リスク。歯根吸収や歯肉退縮の可能性。保定装置(リテーナー)未装着による後戻り。
- 外科手術(インプラント・歯周外科等): 術後の腫れ、痛み、出血、内出血の可能性。清掃不良によるインプラント周囲炎のリスク。骨結合や再生が想定通りに進まない可能性。
- 審美歯科(ジルコニア): 健康な歯を削る必要性(状況により神経処置が必要)。強い衝撃や極度の食いしばりによる極稀な破損リスク。