【症例】欠けた前歯をオールセラミッククラウンで修復
患者様 40代 女性
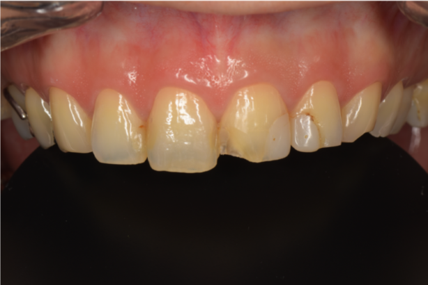
主訴(来院理由) 前歯が欠けた

治療内容 診察の結果、左上の前歯が大きく欠けており、部分的な詰め物(コンポジットレジン等)での修復では強度や見た目の維持が難しいため、歯全体を覆う被せ物(クラウン)による治療を計画しました。
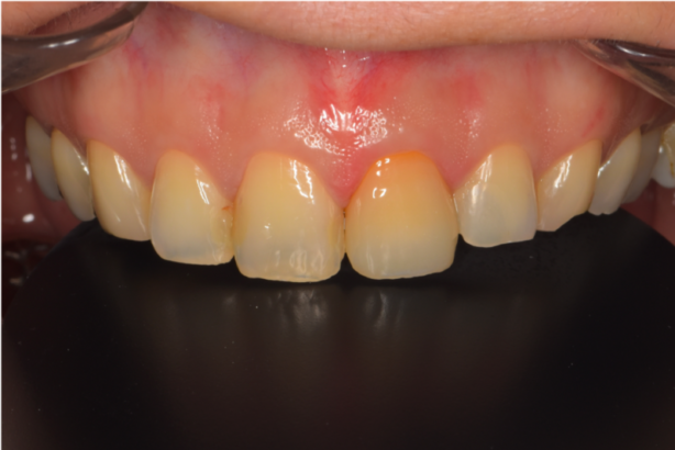
欠けた部分を補い、被せ物が入るように歯の形を丁寧に整え、精密な型取りを行いました。その後、患者様の周りの天然歯の透明感や色調と自然に調和するオーダーメイドの「オールセラミッククラウン」を作製し、専用の接着剤でしっかりと装着しました。 金属を一切使用しない材質のため、機能面での回復はもちろん、周りの歯と見分けがつかないほど自然で美しい口元を取り戻すことができました。

治療の詳細情報
治療名 前歯部オールセラミッククラウン補綴治療
標準的な費用(自費診療) 総額:143,000円(税込)
※上記は本症例における1歯あたりの費用です。
治療期間・通院回数 期間:1ヶ月 通院回数:3回
オールセラミッククラウン治療のリスク・副作用について
被せ物を装着するためのスペースを確保するため、健康な歯質を削る必要があります。
神経が生きている歯を治療した場合、治療中や治療後に一時的に冷たいものや熱いものがしみる(知覚過敏)症状が出ることがありますが、通常は徐々に落ち着いていきます。
陶器と同じ素材であるため、過度な衝撃(転倒、強い食いしばりや歯ぎしり、硬いものを噛んだ時など)により、クラウンが欠けたり割れたりするリスクがあります。
加齢や歯周病の進行によって歯ぐき(歯肉)が下がると、将来的にクラウンと歯ぐきの境目が見えてくることがあります。
治療完了後も、ご自宅での適切なブラッシングと歯科医院での定期的なメインテナンスを怠ると、クラウンと歯の境目から再び虫歯(二次カリエス)になる恐れがあります。