【症例】歯肉退縮(歯茎の下がり)に対する根面被覆術(結合組織移植術)
患者様 40代 女性
主訴(来院理由) 歯茎が下がってきているのが気になる、見た目を改善したい
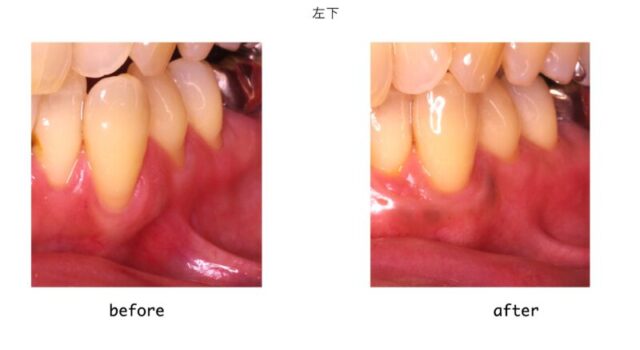
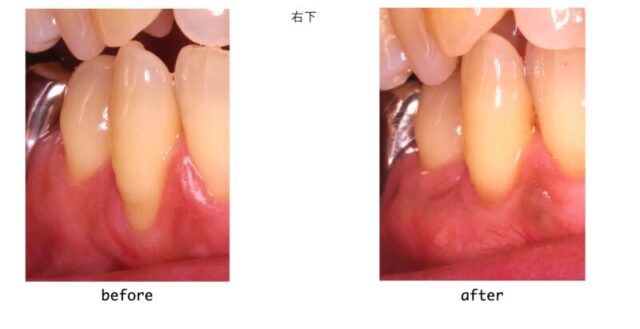
治療内容 左上、左下、右下の計3箇所に歯肉退縮(歯茎が下がって歯の根面が露出した状態)が認められました。 放置すると知覚過敏や根面う蝕(根っこの虫歯)のリスクが高まるため、ご自身の組織を移植して歯茎を再建する「結合組織移植術(CTG)」を用いた根面被覆術を行いました。 上あごから採取した結合組織を退縮部位に移植することで、露出した根面を覆い、健康的で厚みのある歯茎を回復させました。




治療の詳細情報 治療名 歯肉退縮に対する根面被覆術(結合組織移植術:CTG)
標準的な費用(自費診療) 総額:363,000円(税込)
<費用の内訳(すべて税込)>
根面被覆術(1部位):121,000円 × 3箇所
※上記は本症例における費用です。実際の費用は治療範囲や本数により変動する場合があります。
治療期間・通院回数 期間:7ヶ月 通院回数:13回
根面被覆術(CTG)のリスク・副作用について
外科手術を伴うため、術後に痛み、腫れ、出血が生じる場合があります。特に組織を採取した上あごの部分には、数日間違和感や痛みが出ることがあります。
移植した組織が周囲の組織と十分に結合せず、定着しない場合があります(生着不全)。その際は再手術が必要になることがあります。
術後、一時的に知覚過敏の症状が出たり、増強したりする可能性があります。
手術部位の安静が守られない場合(強くうがいをする、指や舌で触れる、硬いものを食べるなど)、傷口が開いたり血流が阻害されたりして、良好な結果が得られないことがあります。
喫煙は血管を収縮させ、移植組織の生着を著しく妨げるため、治療期間中の禁煙が推奨されます。
お口全体の清掃状態が悪い場合、感染のリスクが高まります。治療後も継続的なメインテナンスが必要です。