【症例】重度歯周炎に対する歯周組織再生療法(エムドゲイン・骨移植)
患者様 60代 女性
主訴(来院理由) 検診で歯周病を指摘された

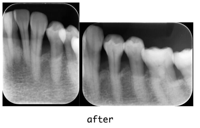
治療内容 お口全体の精密検査の結果、全体的に重度の歯周炎(歯周病)と診断されました。特に左下の奥歯周辺では、歯を支えるあごの骨が歯の根の長さの2/3以上失われている「垂直的骨吸収」が認められました。
まずは基本治療として5ヶ月間、ブラッシング指導(OHI)を行い、歯石除去(スケーリング)、および歯周ポケット奥深くの汚れを取り除く処置(SRP)を行って、お口の中の炎症を鎮めました。 その後、再評価検査を経て、骨が大きく失われている部位に対して「歯周組織再生療法」を行いました。エムドゲイン(歯周組織再生材料)と骨移植材料を併用し、失われた支持組織の再生を促しました。
現在は治療が完了し、良好な状態を維持するため、3ヶ月に1度のペースで定期的なメインテナンスに通われています。

【院長コメント】 本症例は、私が大学病院に勤務していた時代に執刀・治療を担当したものです。術後15年以上が経過した現在も、定期的なメインテナンスを継続することで、非常に良好な状態を維持されています。適切な治療と継続的なケアによって、重度の歯周病であっても長期的にご自身の歯を保存できる可能性を示す一例です。
治療の詳細情報(医療広告ガイドラインに基づく記載)
治療名 重度歯周炎に対する歯周組織再生療法(エムドゲイン法、骨移植術)
標準的な費用(自費診療) 総額:264,000円(税込)
※本症例における再生療法の費用です。検査や基本治療が保険診療か自費診療かによって総額は変動します。
治療期間・通院回数の目安 期間:約6ヶ月(うち基本治療5ヶ月) 通院回数:13回(基本治療12回、歯周組織再生療法1回)
歯周組織再生療法のリスク・副作用について
外科手術を伴うため、術後に痛み、腫れ、出血が生じる場合があります。
手術によって歯ぐきが一時的に下がったり、歯が長く見えたりすることがあります。また、それに伴い知覚過敏が生じる可能性があります。
全ての症例で必ずしも期待通りの骨の再生が得られるわけではありません。患者様の体質や喫煙習慣、術後の口腔衛生状態により結果が左右されます。
術後、移植部位の安静や清潔が保たれない場合、感染を起こすリスクがあります。
治療後も定期的なメインテナンスを継続しない場合、歯周病が再発し、再生した組織が再び失われる恐れがあります。