
【症例】重度歯周炎に対する歯周組織再生療法(エムドゲイン・骨移植)
【症例】重度歯周炎に対する歯周組織再生療法(エムドゲイン・骨移植) 患者様 60代 女性 主訴(来院理由) 検...

【症例】歯肉退縮(歯茎の下がり)に対する根面被覆術(結合組織移植術)
【症例】歯肉退縮(歯茎の下がり)に対する根面被覆術(結合組織移植術) 患者様 40代 女性 主訴(来院理由) ...

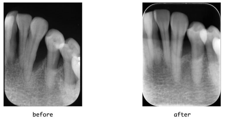
【症例】重度歯周炎に対する歯周組織再生療法(エムドゲイン・骨移植)
【症例】重度歯周炎に対する歯周組織再生療法(エムドゲイン・骨移植) 患者様 60代 女性 主訴(来院理由) 検...

【症例】歯肉退縮(歯茎の下がり)に対する根面被覆術(結合組織移植術)
【症例】歯肉退縮(歯茎の下がり)に対する根面被覆術(結合組織移植術) 患者様 40代 女性 主訴(来院理由) ...